Best Emergency Dentist Near Me in Fullerton, CA
When you need immediate dental care, finding the best emergency dentist near you is essential. You want someone who is not only able to see you quickly, but also someone who knows how to deliver care with skill, professionalism, and clear communication. A trusted dentist can help you remain calm and confident during the most …
Read More
Dental Implant Candidates in Fullerton, CA
Strong dental health gives you confidence in everything from smiling to eating your favorite foods. For many people, becoming a candidate for dental implants is the first step toward restoring both function and appearance. Implants don’t just fill a gap—they also improve overall dental health in ways that last for years. How implants strengthen dental …
Read More
Urgent Dental Appointment in Fullerton, CA
Timely dental care can make a world of difference when something doesn’t feel right. Whether you’ve noticed a change in your bite, discomfort when eating, or a sudden issue that won’t go away, prompt treatment can protect your oral health and prevent further complications. When a dental office makes urgent care a priority, it helps …
Read More
Replace Teeth With Dental Implants in Fullerton, CA
Replacing missing teeth is one of the most important steps you can take to protect your long-term dental health. When a gap is left unfilled, it can affect your bite, jawbone, gums, and even the stability of nearby teeth. Choosing to replace teeth with dental implants not only restores your smile, but it also strengthens …
Read More
Tooth Ache Treatment in Fullerton, CA
A toothache may seem like a small problem at first, but getting it checked quickly can make a big difference. Taking action early gives you a chance to improve your dental health, avoid further damage, and enjoy the confidence that comes with a healthy, comfortable smile. How dental care improves your health Tooth pain is …
Read More
Dental Implant Procedure FAQs in Fullerton, CA
A healthy, complete smile has a powerful effect on confidence. When teeth are missing, it can make you hesitant to laugh or smile, and you may even find it difficult to speak comfortably. Dental implants restore not only the function of your teeth but also the way you feel about yourself. Below are some of …
Read More
Dentist Accepting Emergency Patients in Fullerton, CA
Taking quick action when a dental issue arises can protect your long-term oral health. Emergency dental care isn’t just about solving a sudden problem—it also helps you avoid further damage and keep your teeth and gums in the best possible condition. Whether you’re dealing with a cracked tooth or another unexpected issue, a dentist who …
Read More
Dental Implants For Missing Teeth in Fullerton, CA
A healthy smile does more than look good. Your smile supports your comfort, confidence, and overall well-being. When teeth are missing, it can affect how you eat, speak, and even how your other teeth function. Choosing dental implants for missing teeth is a powerful step toward restoring not just your appearance but also your health. …
Read More
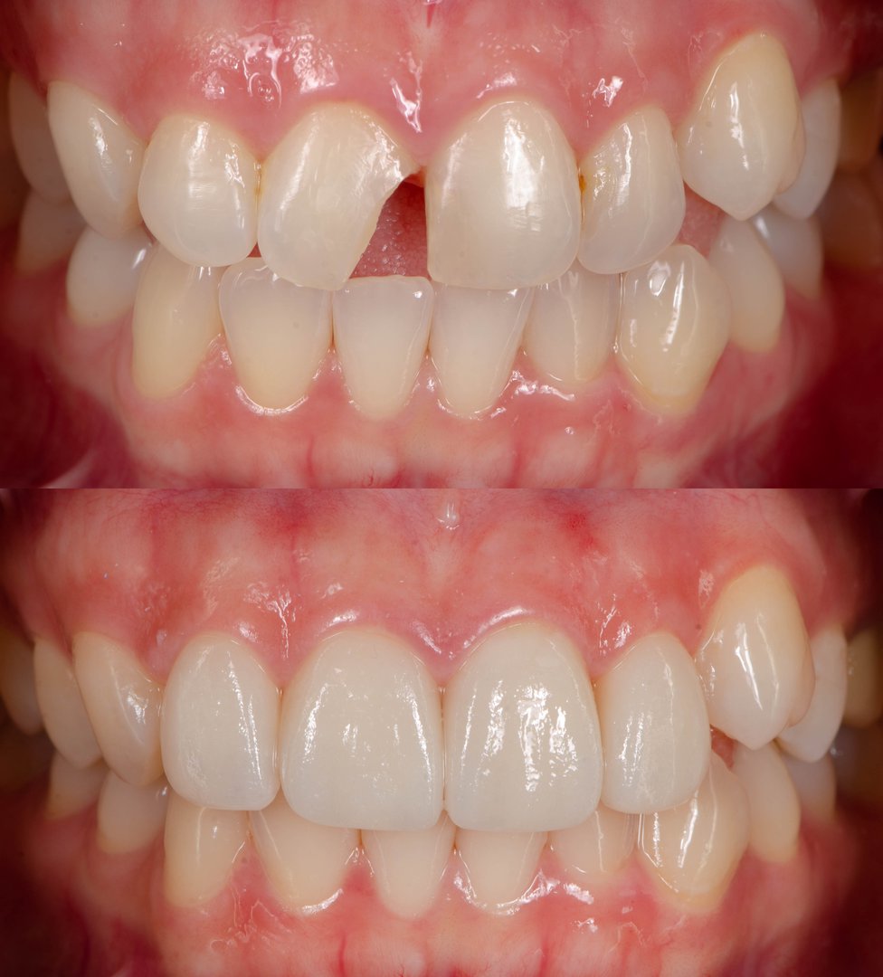
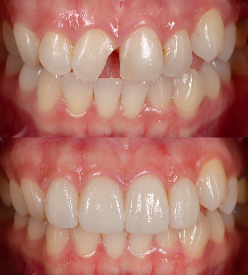
Broken Tooth Treatment in Fullerton, CA
You can dramatically improve your dental health with the right treatment after a tooth breaks. Whether the damage is minor or severe, your overall wellness and oral function depend on professional support. With the right dental care, you can protect your natural teeth, avoid future problems, and regain your smile. How dental treatment for a …
Read More
Replace Teeth With Dental Implants in Fullerton, CA
Replacing missing teeth is about more than just filling a gap—it’s about restoring comfort, function, and confidence. When you choose to replace teeth with dental implants, you’re choosing a long-lasting solution that looks natural, feels secure, and supports your overall dental health. Why people replace teeth with dental implants Dental implants are a popular option …
Read More